Advisains
Advisains
  • Products Tech
    • DNA Tech
    • Cell Tech
    • Protein Tech
    • Diagnostics
  • Aplication & Workflow
    • Tissue Engineering
    • Clinical Molecular Diagnostics
    • Industrial Biotechnology
  • Resources
    • Article & Insight
    • Get E-Certificate
    • Webinar
    • Event
    • Download Brochure
  • Support
    • Technical Support
    • Installation & Training
    • Maintenance Services
    • Service Request Form
  • About Us
    • Company Profile
    • Portfolio
    • Compliance & Certification

Customer Portal Contact Us
  • 021-77846655
  • info@advisains.id
Facebook X-twitter Youtube Linkedin
  • Cust Portal
Home
Get Qoute
  • Products Tech
    • DNA Tech
    • Cell Tech
    • Protein Tech
    • Diagnostics
  • Aplication & Workflow
    • Tissue Engineering
    • Clinical Molecular Diagnostics
    • Industrial Biotechnology
  • Resources
    • Article & Insight
    • Get E-Certificate
    • Webinar
    • Event
    • Download Brochure
  • Support
    • Technical Support
    • Installation & Training
    • Maintenance Services
    • Service Request Form
  • About Us
    • Company Profile
    • Portfolio
    • Compliance & Certification

TECH Labsatu News

  1. Home
  2. TECH Labsatu News
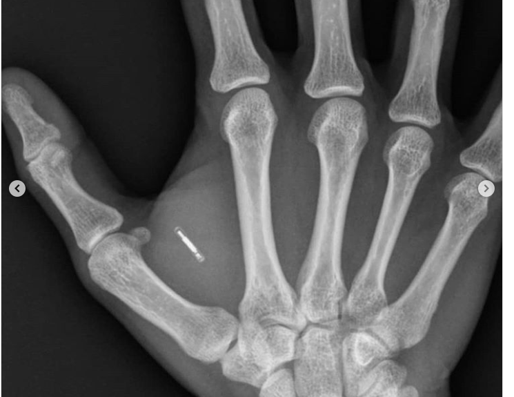
Lebih Dari 4000 Orang di Swedia Memasang Chip Di Tangan, Begini Penampakannya
12 Nov
Bisnis, TECH Labsatu News

Lebih Dari 4000 Orang di Swedia Memasang Chip Di Tangan, Begini Penampakannya

Admin Sains
Selengkapnya
Lensa Spectacle DIM : Lensa yang Dapat Mengurangi Minus Pada Mata
07 Nov
TECH Labsatu News, Terbaru

Lensa Spectacle DIM : Lensa yang Dapat Mengurangi Minus Pada Mata

Elsa
Selengkapnya
Wow Fitu WhatsApp Stiker, Ayo Coba
01 Nov
TECH Labsatu News

Wow Fitu WhatsApp Stiker, Ayo Coba

Admin Sains
Selengkapnya
Contoh Kasus Kecelakaan Pesawat Karena Sinyal Ponsel
30 Oct
Bisnis, Infografik, Sains, TECH Labsatu News

Contoh Kasus Kecelakaan Pesawat Karena Sinyal Ponsel

Admin Sains
Selengkapnya
Ponsel Mempunyai Kontributor yang Besar Terhadap Keselamatan Penerbangan
30 Oct
Berita, Bisnis, Sains, TECH Labsatu News

Ponsel Mempunyai Kontributor yang Besar Terhadap Keselamatan Penerbangan

Admin Sains
Selengkapnya
Berikut Foto Puing Lion Air JT 610 Yang Terjatuh Berhasil Di Temukan Pada Hari Senin
29 Oct
TECH Labsatu News

Berikut Foto Puing Lion Air JT 610 Yang Terjatuh Berhasil Di Temukan Pada Hari Senin

Admin Sains
Selengkapnya
Hanya Orang Ini Yang Pernah Bermain Golf Di Bulan
22 Oct
TECH Labsatu News

Hanya Orang Ini Yang Pernah Bermain Golf Di Bulan

Admin Sains
Selengkapnya
Astronot Ini Pamerkan foto Penampakan Topan Trami dari Luar Angkasa Yang Menerjang Jepang
17 Oct
TECH Labsatu News

Astronot Ini Pamerkan foto Penampakan Topan Trami dari Luar Angkasa Yang Menerjang Jepang

Admin Sains
Selengkapnya
Kini Atlas Si Robot Canggih Dapat Melakukan Parkour
17 Oct
TECH Labsatu News

Kini Atlas Si Robot Canggih Dapat Melakukan Parkour

Admin Sains
Selengkapnya

Recent Posts

Admin Sains

Pameran INDOWATER 2022 Digelar Di Jakarta

Admin Sains

Tertawa Dapat Membentuk Otot Perut Anda?

Admin Sains

Mengapa Saat Kita Tertawa Terasa Enak?

All Categories
  • Alat-Alat Laboratorium
  • Artikel Pilihan
  • Bahan Kimia
  • Berita
  • Bisnis
  • Cancer
  • Diagnostics
  • Event
  • Fakta Sains
  • Gastrointestinal
  • Gaya Hidup Sehat
  • Gene Expression Research
  • Genetic Research
  • How To Use
  • Humor Sains
  • Infografik
  • Jurnal
  • Kerjasama
  • Kesehatan
  • Liputan Kegiatan
  • Pengembangan Produk
  • Penyakit
  • Pojok Labsatu
  • Republikasi post
  • Research
  • Sains
  • Serba-Serbi
  • TECH Labsatu News
  • Terbaru
  • Tips
  • Wawancara
Tags
#LabsatuFaktaSains Air alatlab alatlaboratorium Alat laboratorium anak bakteri buah clinical darah diabetes fakta sains FDA hewan Ilmuwan jantung jerawat jualalatlab kanker Kesehatan kulit lab labequipment laboratorium laboratory makanan medical Minuman obat otak PCR penelitian penyakit Puasa research riset Sains tanaman teknologi tidur Tips tubuh tumbuhan vaksin virus

Lokasi

Ruko Pesona View Blok B No. 4, Jln. Ir H. Juanda, Depok, Jawa barat 16411

Kontak WhatsApp

+62 817-9154-607

Alamat Email

info@advisains.id

Home

Advisains berperan sebagai authorized distributor dan integrator teknologi bioteknologi global di Indonesia.

Sosial Media

Instagram Linkedin Facebook X-twitter

Workflow

  • DNA Tech
  • Cell Tech
  • Protein Tech
  • Tissue Engineering
  • Immuno-Therapy
  • Extracellular Vesicles (EVS)
  • Next Generation Sequencing
  • Stem Cell
  • Needs a Career
  • Meet The Team
  • Setting & Privacy
  • About Us

News Feeds

Rapid Porcine Amplification Kit 
Elsa

Rapid Porcine Amplification Kit – Senatek

TOYOPEARL Sulfate-650F resin - Tosoh Bioscience
Elsa

TOYOPEARL Sulfate-650F resin – Tosoh Bioscience

View More News
© 2026 Copyrights by Advisains All Rights Reserved